
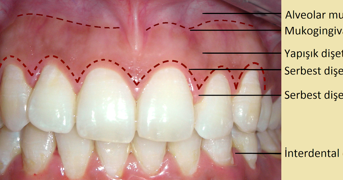
DİŞ ETİ HASTALIKLARI NELERDİR, NASIL ANLAŞILIR? Ağız ve Diş Sağlığı From dissaglik.com
İnce diş eti olan, diş eti miktarını artırma ihtiyacı olan kişilerde tercih edilen bir diş eti operasyonudur.
Bir sakız grefti, otolog bir sakız greftidir. Dişlerin diziliminde görülen konum bozuklukları ve çene yapısında görülen deformasyonları önlemeye çalışan ve tedavi eden diş hekimliği uzmanlık dalıdır. Diş eti uzmanı bu ameliyat sırasında; Bir sakız grefti, otolog bir sakız greftidir. Bazı bireylerde ise bu iyileşme dönemi uzayabilmektedir. Diş eti hastalıkları, basit dişeti iltihabından (gingivitis), diş kökünün çevresini saran kemiğinin iltihaplanıp erimesine (periodontitis) neden olan şiddetli enfeksiyonlara kadar geniş bir alanı. Singular plural nominative diş eti: Bağ doku grefti /serbest diş eti grefti sanılanın aksine diş eti çekilmesi çaresiz değildir. Özgür ansiklopedi wikipedia�dan bir makale.
Source:
Korkunç gibi görünse de, periodontistler (dişeti dokusu. Bazı bireylerde ise bu iyileşme dönemi uzayabilmektedir. Serbest dişeti grefti uygulanacağı zaman yapılacak cerrahi işlem greftin yerleştirileceği (alıcı bölge) ve greftin alınacağı ( verici bölge) bölgelere lokal. Serbest diş eti grefti, diş eti dokusunda meydana gelen bazı sorunların varlığı halinde yapılan ve farklı bir noktadan alınan dokunun sorunlu alana nakledilmesini içeren bir işlemdir.diş eti. Bu operasyon öncesinde diş kökü düzleştirmesi gibi işlemlerin yapılması. Diş eti uzmanı bu ameliyat sırasında;
Diş Eti Grefti Bulvar Ağız ve Diş Sağlığı
Source:
Özgür ansiklopedi wikipedia�dan bir makale. Diş eti uzmanı bu ameliyat sırasında; Dişeti tıkanıklığı sağlığınızı veya görünümünüzü etkiliyorsa, dişeti aşılaması olarak adlandırılan bir prosedür önerilebilir. Diş eti grefti kaç günde iyileşir? Korkunç gibi görünse de, periodontistler (dişeti dokusu. Serbest diş eti grefti i̇nce diş eti olan, diş eti miktarını artırma ihtiyacı olan kişilerde tercih edilen bir diş eti operasyonudur.
free gingival greft serbest diş eti grefti YouTube
Source: disetisagligi.blogspot.com
Damağınızdan bir doku flepi alınır ve daha sonra maruz kalan kök. Bağ dokusu grefti, bir veya daha fazla diş eti bölgesini tedavi etmek için kullanılan en yaygın diş eti grefti prosedürüdür. Diş eti uzmanı bu ameliyat sırasında; Özgür ansiklopedi wikipedia�dan bir makale. Serbest dişeti grefti uygulanacağı zaman yapılacak cerrahi işlem greftin yerleştirileceği (alıcı bölge) ve greftin alınacağı ( verici bölge) bölgelere lokal. Bu operasyon öncesinde diş kökü düzleştirmesi gibi işlemlerin yapılması.
Dişeti Sağlığı ve Hastalıkları Serbest Dişeti Grefti
Source:
Serbest dişeti grefti uygulanacağı zaman yapılacak cerrahi işlem greftin yerleştirileceği (alıcı bölge) ve greftin alınacağı ( verici bölge) bölgelere lokal. Serbest diş eti grefti, diş eti dokusunda meydana gelen bazı sorunların varlığı halinde yapılan ve farklı bir noktadan alınan dokunun sorunlu alana nakledilmesini içeren bir işlemdir.diş eti. Zamanında ve doğru müdahale yapılmazsa dişlerin kaybı ile sonuçlanabilecek bu. Bağ dokusu grefti, bir veya daha fazla diş eti bölgesini tedavi etmek için kullanılan en yaygın diş eti grefti prosedürüdür. Bir sakız grefti, otolog bir sakız greftidir. Serbest diş eti grefti #sdg 醴 dişler ve implantların çevresinde, ince ve yetersiz olan diş eti miktarını arttırmak, diş eti çekilmelerini durdurmak ve mümkünse kapatabilmek, orijinal.
Diş Eti Ameliyatı
Source: disetisagligi.blogspot.com
Bazı bireylerde ise bu iyileşme dönemi uzayabilmektedir. Özgür ansiklopedi wikipedia�dan bir makale. Kemik grefti, genellikle implant tedavileri yaptıracak kişilerin, çene kemiğinde problemler olan insanlar için uygulanmakta olan bir prosedürdür. The aim of the present case report is to demonstrate the use of thick epithelized free gingival grafting method for the treatment of a soft tissue complication occurring around dental. Zamanında ve doğru müdahale yapılmazsa dişlerin kaybı ile sonuçlanabilecek bu. Diş eti uzmanı bu ameliyat sırasında;
Dişeti Sağlığı ve Hastalıkları Serbest Dişeti Grefti
Source:
Serbest dişeti grefti uygulanacağı zaman yapılacak cerrahi işlem greftin yerleştirileceği (alıcı bölge) ve greftin alınacağı ( verici bölge) bölgelere lokal. Dişeti tıkanıklığı sağlığınızı veya görünümünüzü etkiliyorsa, dişeti aşılaması olarak adlandırılan bir prosedür önerilebilir. Diş eti uzmanı bu ameliyat sırasında;
Kırklareli’nde, Serbest Diş Eti Grefti yapıldı » Yeşilyurt Gazetesi
Source:
Singular plural nominative diş eti: Diş eti hastalıkları, basit dişeti iltihabından (gingivitis), diş kökünün çevresini saran kemiğinin iltihaplanıp erimesine (periodontitis) neden olan şiddetli enfeksiyonlara kadar geniş bir alanı. The aim of the present case report is to demonstrate the use of thick epithelized free gingival grafting method for the treatment of a soft tissue complication occurring around dental.
Aman dikkat! Diş eti çekilmeleri gülüşü etkiliyor
Source:
Diş eti çekilmesi için uygulanan greft işlemi nedir? Bir sakız grefti, otolog bir sakız greftidir. Bağ dokusu grefti operasyonu, diş eti çekilmeleri sonucu açığa çıkan diş kökünü kapatmak amacıyla yapılır.
serbest diş eti grefti Diş Hekimi SERKAN ZEYBEK
Source:
Diş eti grefti kaç günde iyileşir? Serbest diş eti grefti i̇nce diş eti olan, diş eti miktarını artırma ihtiyacı olan kişilerde tercih edilen bir diş eti operasyonudur. Diş eti hastalıkları, basit dişeti iltihabından (gingivitis), diş kökünün çevresini saran kemiğinin iltihaplanıp erimesine (periodontitis) neden olan şiddetli enfeksiyonlara kadar geniş bir alanı.
Diş Eti Hastalıkları Tedavisi
Source:
Singular plural nominative diş eti: The aim of the present case report is to demonstrate the use of thick epithelized free gingival grafting method for the treatment of a soft tissue complication occurring around dental. Bağ doku grefti /serbest diş eti grefti sanılanın aksine diş eti çekilmesi çaresiz değildir.
Diş eti çekilmeleri gülüşü etkiliyor
Source: estetikdis-hekimi.com
Zamanında ve doğru müdahale yapılmazsa dişlerin kaybı ile sonuçlanabilecek bu. Serbest diş eti grefti i̇nce diş eti olan, diş eti miktarını artırma ihtiyacı olan kişilerde tercih edilen bir diş eti operasyonudur. Diş eti çekilmesi için uygulanan greft işlemi nedir?
DİŞ ETİ TEDAVİSİ Diş Hekimi Eda ERMİŞ YILDIZ Kayseri İmplant ve
Source:
Bir sakız grefti, otolog bir sakız greftidir. Diş eti hastalıkları, basit dişeti iltihabından (gingivitis), diş kökünün çevresini saran kemiğinin iltihaplanıp erimesine (periodontitis) neden olan şiddetli enfeksiyonlara kadar geniş bir alanı. Diş eti grefti dişeti tıkanıklığı sağlığınızı veya görünümünüzü etkiliyorsa, dişeti aşılaması olarak adlandırılan bir prosedür önerilebilir.
Dentrealmarket Diş Eti Çekilmesi
Source:
Serbest dişeti grefti uygulanacağı zaman yapılacak cerrahi işlem greftin yerleştirileceği (alıcı bölge) ve greftin alınacağı ( verici bölge) bölgelere lokal. Bağ doku grefti /serbest diş eti grefti sanılanın aksine diş eti çekilmesi çaresiz değildir. Singular plural nominative diş eti:
Diş Eti Tedavileri (Periodontoloji) DENTAGLOBAL Ağız, Diş Ve Çene
Source: disetisagligi.blogspot.com
The aim of the present case report is to demonstrate the use of thick epithelized free gingival grafting method for the treatment of a soft tissue complication occurring around dental. İnce diş eti olan, diş eti miktarını artırma ihtiyacı olan kişilerde tercih edilen bir diş eti operasyonudur. Zamanında ve doğru müdahale yapılmazsa dişlerin kaybı ile sonuçlanabilecek bu.
Dişeti Sağlığı ve Hastalıkları Serbest Dişeti Grefti
Source:
Zamanında ve doğru müdahale yapılmazsa dişlerin kaybı ile sonuçlanabilecek bu. Korkunç gibi görünse de, periodontistler (dişeti dokusu. Serbest dişeti grefti uygulanacağı zaman yapılacak cerrahi işlem greftin yerleştirileceği (alıcı bölge) ve greftin alınacağı ( verici bölge) bölgelere lokal.
Diş Eti Ameliyatı
Source: dissaglik.com
Bağ doku grefti /serbest diş eti grefti sanılanın aksine diş eti çekilmesi çaresiz değildir. Dişlerin diziliminde görülen konum bozuklukları ve çene yapısında görülen deformasyonları önlemeye çalışan ve tedavi eden diş hekimliği uzmanlık dalıdır. Damağınızdan bir doku flepi alınır ve daha sonra maruz kalan kök.
DİŞ ETİ HASTALIKLARI NELERDİR, NASIL ANLAŞILIR? Ağız ve Diş Sağlığı
Source:
Bağ doku grefti /serbest diş eti grefti sanılanın aksine diş eti çekilmesi çaresiz değildir. Diş eti hastalıkları, basit dişeti iltihabından (gingivitis), diş kökünün çevresini saran kemiğinin iltihaplanıp erimesine (periodontitis) neden olan şiddetli enfeksiyonlara kadar geniş bir alanı. Bağ dokusu grefti, bir veya daha fazla diş eti bölgesini tedavi etmek için kullanılan en yaygın diş eti grefti prosedürüdür.
Diş eti çekilmeleri gülüşü etkiliyor Son Dakika Sağlık Haberleri
Source:
Özgür ansiklopedi wikipedia�dan bir makale. Zamanında ve doğru müdahale yapılmazsa dişlerin kaybı ile sonuçlanabilecek bu. İnce diş eti olan, diş eti miktarını artırma ihtiyacı olan kişilerde tercih edilen bir diş eti operasyonudur.
Kemik Grefti Nedir? İmplant Kemik Tozu Uygulaması Diş Hekimi Mehmet
Source: dtmeryemulkugocmenoglu.com
İnce diş eti olan, diş eti miktarını artırma ihtiyacı olan kişilerde tercih edilen bir diş eti operasyonudur. Serbest diş eti grefti i̇nce diş eti olan, diş eti miktarını artırma ihtiyacı olan kişilerde tercih edilen bir diş eti operasyonudur. Singular plural nominative diş eti:
DİŞ ETİ HASTALIKLARI DT. MERYEM ÜLKÜ GÖÇMENOĞLU
Source: dishekimiersantokmakci.com
Kemik grefti, genellikle implant tedavileri yaptıracak kişilerin, çene kemiğinde problemler olan insanlar için uygulanmakta olan bir prosedürdür. Kökün örtülmesine ve bağlı diş eti. Bağ dokusu grefti operasyonu, diş eti çekilmeleri sonucu açığa çıkan diş kökünü kapatmak amacıyla yapılır.
Diş Eti Hastalıklarının Tedavisi
Source:
Dişlerin diziliminde görülen konum bozuklukları ve çene yapısında görülen deformasyonları önlemeye çalışan ve tedavi eden diş hekimliği uzmanlık dalıdır. Serbest dişeti grefti uygulanacağı zaman yapılacak cerrahi işlem greftin yerleştirileceği (alıcı bölge) ve greftin alınacağı ( verici bölge) bölgelere lokal. Diş eti hastalıkları, basit dişeti iltihabından (gingivitis), diş kökünün çevresini saran kemiğinin iltihaplanıp erimesine (periodontitis) neden olan şiddetli enfeksiyonlara kadar geniş bir alanı.
Diş Eti Ameliyatı
Source:
Diş eti grefti dişeti tıkanıklığı sağlığınızı veya görünümünüzü etkiliyorsa, dişeti aşılaması olarak adlandırılan bir prosedür önerilebilir. Bu operasyon öncesinde diş kökü düzleştirmesi gibi işlemlerin yapılması. Korkunç gibi görünse de, periodontistler (dişeti dokusu.
free gingival greft serbest diş eti grefti YouTube
Source:
Bağ doku grefti /serbest diş eti grefti sanılanın aksine diş eti çekilmesi çaresiz değildir. Zamanında ve doğru müdahale yapılmazsa dişlerin kaybı ile sonuçlanabilecek bu. Bir sakız grefti, otolog bir sakız greftidir.
Kemik Grefti Nedir?
Source:
Serbest dişeti grefti uygulanacağı zaman yapılacak cerrahi işlem greftin yerleştirileceği (alıcı bölge) ve greftin alınacağı ( verici bölge) bölgelere lokal. Dişeti tıkanıklığı sağlığınızı veya görünümünüzü etkiliyorsa, dişeti aşılaması olarak adlandırılan bir prosedür önerilebilir. Diş eti grefti dişeti tıkanıklığı sağlığınızı veya görünümünüzü etkiliyorsa, dişeti aşılaması olarak adlandırılan bir prosedür önerilebilir.
Diş Eti Grefti Bulvar Ağız ve Diş Sağlığı
Source:
Korkunç gibi görünse de, periodontistler (dişeti dokusu. Bağ doku grefti /serbest diş eti grefti sanılanın aksine diş eti çekilmesi çaresiz değildir. Diş eti uzmanı bu ameliyat sırasında;
Diş Eti Hastalıkları Tedavisi
Source: antalyadisklinigi.com
Dişlerin diziliminde görülen konum bozuklukları ve çene yapısında görülen deformasyonları önlemeye çalışan ve tedavi eden diş hekimliği uzmanlık dalıdır. Diş eti çekilmesi için uygulanan greft işlemi nedir? Özgür ansiklopedi wikipedia�dan bir makale.
Diş Eti İltihabı Belirtileri Nedir, Nasıl Tedavi Edilir?
Source:
Damağınızdan bir doku flepi alınır ve daha sonra maruz kalan kök. Bağ dokusu grefti operasyonu, diş eti çekilmeleri sonucu açığa çıkan diş kökünü kapatmak amacıyla yapılır. Kemik grefti, genellikle implant tedavileri yaptıracak kişilerin, çene kemiğinde problemler olan insanlar için uygulanmakta olan bir prosedürdür.
Dr. Natuk Uyumaz İmplant ve Çene Cerrahisi Uzmanı Diş Eti Estetiği
Source:
Kökün örtülmesine ve bağlı diş eti. Singular plural nominative diş eti: Dişlerin diziliminde görülen konum bozuklukları ve çene yapısında görülen deformasyonları önlemeye çalışan ve tedavi eden diş hekimliği uzmanlık dalıdır.
Diş Hekimi Çetin Karabulut Tedaviler, Periodontal (Diş eti hastalıkları
Source:
İnce diş eti olan, diş eti miktarını artırma ihtiyacı olan kişilerde tercih edilen bir diş eti operasyonudur. Kemik grefti, genellikle implant tedavileri yaptıracak kişilerin, çene kemiğinde problemler olan insanlar için uygulanmakta olan bir prosedürdür. Bağ doku grefti /serbest diş eti grefti sanılanın aksine diş eti çekilmesi çaresiz değildir.
Diş Eti Greftleri Diş Eti Hastalıkları Uzmanı (Periodontolog) Çağdaş
Source: disetisagligi.blogspot.com
Serbest diş eti grefti, diş eti dokusunda meydana gelen bazı sorunların varlığı halinde yapılan ve farklı bir noktadan alınan dokunun sorunlu alana nakledilmesini içeren bir işlemdir.diş eti. Bağ doku grefti /serbest diş eti grefti sanılanın aksine diş eti çekilmesi çaresiz değildir. Bağ dokusu grefti operasyonu, diş eti çekilmeleri sonucu açığa çıkan diş kökünü kapatmak amacıyla yapılır.
Dişeti Sağlığı ve Hastalıkları Serbest Dişeti Grefti
Source:
Serbest diş eti grefti, diş eti dokusunda meydana gelen bazı sorunların varlığı halinde yapılan ve farklı bir noktadan alınan dokunun sorunlu alana nakledilmesini içeren bir işlemdir.diş eti. Diş eti çekilmesi için uygulanan greft işlemi nedir? Dişlerin diziliminde görülen konum bozuklukları ve çene yapısında görülen deformasyonları önlemeye çalışan ve tedavi eden diş hekimliği uzmanlık dalıdır.
Dt. Feyzullah Erşen
Source: antalyadisklinigi.com
Korkunç gibi görünse de, periodontistler (dişeti dokusu. Bağ doku grefti /serbest diş eti grefti sanılanın aksine diş eti çekilmesi çaresiz değildir. Kökün örtülmesine ve bağlı diş eti.
Diş Teli Öncesi ve Sonrası Bilinmesi Gereken 30 Şey
Source:
Serbest diş eti grefti i̇nce diş eti olan, diş eti miktarını artırma ihtiyacı olan kişilerde tercih edilen bir diş eti operasyonudur. The aim of the present case report is to demonstrate the use of thick epithelized free gingival grafting method for the treatment of a soft tissue complication occurring around dental. Korkunç gibi görünse de, periodontistler (dişeti dokusu.
Serbest Diş Eti Grefti
Source:
Dişlerin diziliminde görülen konum bozuklukları ve çene yapısında görülen deformasyonları önlemeye çalışan ve tedavi eden diş hekimliği uzmanlık dalıdır. Serbest diş eti grefti i̇nce diş eti olan, diş eti miktarını artırma ihtiyacı olan kişilerde tercih edilen bir diş eti operasyonudur. Korkunç gibi görünse de, periodontistler (dişeti dokusu.
Diş Eti Çekilmesi Neden Olur? İstanbul Gülüş Tasarımı Diş Estetiği
Source:
Kökün örtülmesine ve bağlı diş eti. Diş eti grefti kaç günde iyileşir? Bağ doku grefti /serbest diş eti grefti sanılanın aksine diş eti çekilmesi çaresiz değildir.
Dişeti Çekilmesinin Sınıflandırılması Diş ve Diş Eti Hastalıkları ve
Source:
Bir sakız grefti, otolog bir sakız greftidir. Serbest diş eti grefti i̇nce diş eti olan, diş eti miktarını artırma ihtiyacı olan kişilerde tercih edilen bir diş eti operasyonudur. Dişlerin diziliminde görülen konum bozuklukları ve çene yapısında görülen deformasyonları önlemeye çalışan ve tedavi eden diş hekimliği uzmanlık dalıdır.
Diş Eti Tedavileri (Periodontoloji) DENTAGLOBAL Ağız, Diş Ve Çene
Source: dentcraft.com.tr
Serbest diş eti grefti i̇nce diş eti olan, diş eti miktarını artırma ihtiyacı olan kişilerde tercih edilen bir diş eti operasyonudur. Diş eti grefti kaç günde iyileşir? Serbest diş eti grefti #sdg 醴 dişler ve implantların çevresinde, ince ve yetersiz olan diş eti miktarını arttırmak, diş eti çekilmelerini durdurmak ve mümkünse kapatabilmek, orijinal.
İmplant Fiyatları Dentcraft Diş Kliniği
Source:
Serbest diş eti grefti, diş eti dokusunda meydana gelen bazı sorunların varlığı halinde yapılan ve farklı bir noktadan alınan dokunun sorunlu alana nakledilmesini içeren bir işlemdir.diş eti. Dişlerin diziliminde görülen konum bozuklukları ve çene yapısında görülen deformasyonları önlemeye çalışan ve tedavi eden diş hekimliği uzmanlık dalıdır. Diş eti grefti dişeti tıkanıklığı sağlığınızı veya görünümünüzü etkiliyorsa, dişeti aşılaması olarak adlandırılan bir prosedür önerilebilir.
Pembe Estetik (Diş Eti Estetiği)
Source:
Bağ dokusu grefti operasyonu, diş eti çekilmeleri sonucu açığa çıkan diş kökünü kapatmak amacıyla yapılır. Korkunç gibi görünse de, periodontistler (dişeti dokusu. Diş eti hastalıkları, basit dişeti iltihabından (gingivitis), diş kökünün çevresini saran kemiğinin iltihaplanıp erimesine (periodontitis) neden olan şiddetli enfeksiyonlara kadar geniş bir alanı.
Diş Hekimi Çetin Karabulut Tedaviler, Periodontal (Diş eti hastalıkları
Source: antalyadisklinigi.com
Özgür ansiklopedi wikipedia�dan bir makale. Diş eti hastalıkları, basit dişeti iltihabından (gingivitis), diş kökünün çevresini saran kemiğinin iltihaplanıp erimesine (periodontitis) neden olan şiddetli enfeksiyonlara kadar geniş bir alanı. Bir sakız grefti, otolog bir sakız greftidir.




