
Diş Eti Kanaması Neden Olur? From
Eğer hastada diş eti hastalığı varsa tedavisi her ne olursa olsun, hangi tedavi uygulaması uygulanırsa uygulansın bu aşamadan.
Normal diş eti kanamasının yanında çekilen dişlerin kanaması da zaman zaman zor durdurulur. Kaşıntılı diş etlerine uygunsuz ağız hijyeni,. Diş eti hastalıklarının belirtileri diş fırçalama sırasında ya da kendiliğinden oluşan kanamalarla,. Sıcak tuzlu su ile gargara diş eti kanaması nasıl durdurulur kolayca şişebilen şişmiş diş etlerini rahatlatmaya yardımcı olabilir. Özellikle devamlı kanayan diş etlerinde plak veya diş eti hassasiyeti gibi sorunlar görülebiliyor. C ve k vitamini eksikliği. Dişlerindeki kaşıntıyı önlemek için neler yapılmalı? Diş eti iltihabı nasıl geçer sorusunun en pratik ve etkili yöntemidir. Diş eti hastalıkları ise iltihap ve kanamalar ile başlar.
Source:
Özellikle devamlı kanayan diş etlerinde plak veya diş eti hassasiyeti gibi sorunlar görülebiliyor. Diş eti hastalıklarının belirtileri diş fırçalama sırasında ya da kendiliğinden oluşan kanamalarla,. Diş eti kanaması nasıl durdurulur? Bunu önlemenin tek yolu ağız bakımının düzenli yapılması ve ağız hijyeninin sağlanmasıdır. Diş eti hastalıkları ise iltihap ve kanamalar ile başlar. Diş kanaması, önemsenmesi gereken sağlık sorunlarındandır.
Diş eti neden kanar? Diş eti kanaması nasıl durdurulur?
Source:
Diş eti kaşıntısı rahatsız edici bir his yaratabilir, ancak nedeni genellikle kolaylıkla tespit edilir. En önemli temel yolu olan diş eti çekilmesinin, her gün düzenli olarak bakımlar sonucu önüne geçirilen bir durum haline gelmektedir. Kaşıntılı diş etlerine uygunsuz ağız hijyeni,. Diş eti kanaması nasıl durdurulur,diş etleri kızarmış, yumuşamış, parlıyor ve şiş ise, hafif fırçalamayla bile kolayca kanıyorsa diş eti iltihap lanmıştır ve kanaması kaçınılmazdır, bu. Normal diş eti kanamasının yanında çekilen dişlerin kanaması da zaman zaman zor durdurulur. Ağız bakımı doğru ve yeterli yapılmadığında iltihap kendini gösterir.
Diş Eti Kanaması Nasıl Durdurulur? Etkili Doğal Çözümler Nasıl Ne Yapılır
Source:
Diş hekiminizle beraber kaşıntıya sebep olan şeyin arkasındaki faktörün ne olduğunu. Diş eti kanamasının yanı sıra başka diyabet. Eğer diş eti çekilmesi (periodontitis) gelişmiş değilse, cerrahi olmayan tedaviler ve daha az invazif prosedürler ile tedavi süreci tamamlanabilir. Diş eti hastalıkları nasıl anlaşılır? Diş eti iltihabı veya diğer diş eti hastalıkları; Diş eti kaşıntısı, farklı nedenlere bağlı olarak ortaya çıkabilir.
Diş Eti Kanaması Neden Olur? Güzellik Sayfası Güzel Görünmenin Sırrı
Source: webizden.com
Doku hasar gördüğünde diş eti geri çekilir. Diş eti kanaması, farklı nedenlere bağlı olarak yaşanır. Diş eti kanaması nasıl durdurulur? Diş eti çekilmesi, dişleri saran diş eti dokusunun dişi veya diş kökünü açığa çıkartarak geri çekilmesidir. Eğer diş eti çekilmesi (periodontitis) gelişmiş değilse, cerrahi olmayan tedaviler ve daha az invazif prosedürler ile tedavi süreci tamamlanabilir. Doğduktan birkaç ay sonra diş kaşınmalarının başladığını belirten diş hekimi zafer kazak, anne babalara önemli.
Diş Etimiz Neden Kanar? Nasıl Önleriz?
Source:
1 bardak suya 1 tatlı kaşığı. Diş eti çekilmesi aslında bir diş eti hastalığının göstergesidir. Diş çekiminden sonra kanama nasıl durur diye merak edenlerin soğuk gıdalar ya da dondurma tüketmeleri faydalı olacaktır. Dişi ve diş köklerini saran dişin dokusudur. Diş eti kaşıntısı rahatsız edici bir his yaratabilir, ancak nedeni genellikle kolaylıkla tespit edilir. Diş eti çekilmesi sonucunda dişler ve diş eti.
Diş Eti Kanaması Neden Olur? Güzellik Sayfası Güzel Görünmenin Sırrı
Source:
Diş eti çekilmesi sonucunda dişler ve diş eti. Diş etleriniz kaşınıyorsa enfeksiyon belirtisi olabilir. C ve k vitamini eksikliği.
Diş Kanaması Nasıl Durdurulur? Daha Bilgi
Source:
1 bardak suya 1 tatlı kaşığı. Ilık tuzlu su hafif gıda ve ilaç alerjileri, evde yapılacak küçük müdahaleler ile giderilebilir. Diş etleriniz kaşınıyorsa enfeksiyon belirtisi olabilir.
Diş Eti Kanaması Neden Olur? Güzellik Sayfası Güzel Görünmenin Sırrı
Source:
Diş eti çekilmesi, önlem alınmadığı zaman diş kaybı na neden olur. Diş eti kanaması nasıl durdurulur? Diş eti kaşıntısı nasıl durdurulur?
Diş Kanaması Nasıl Durdurulur?
Source: saglikhaberleri.com
Eğer hastada diş eti hastalığı varsa tedavisi her ne olursa olsun, hangi tedavi uygulaması uygulanırsa uygulansın bu aşamadan. Diş eti kanaması nasıl durdurulur? Diş eti çekilmesi sonucunda dişler ve diş eti.
Vazelinin Bu Faydalarına Şaşıracaksınız!
Source: saglikhaberleri.com
Diş eti kanaması nasıl durdurulur? Diş eti çekilmesi, dişleri saran diş eti dokusunun dişi veya diş kökünü açığa çıkartarak geri çekilmesidir. Ağız gargarası kullanmak, dişleri düzenli olarak fırçalamak, diş ipi.
Diş Sağlığı Sağlık Haberleri
Source: webizden.com
Diş çekiminden sonra kanama nasıl durur diye merak edenlerin soğuk gıdalar ya da dondurma tüketmeleri faydalı olacaktır. Kaşıntılı diş etleri nasıl durdurulur. Eğer hastada diş eti hastalığı varsa tedavisi her ne olursa olsun, hangi tedavi uygulaması uygulanırsa uygulansın bu aşamadan.
Diş Etimiz Neden Kanar? Nasıl Önleriz?
Source:
Diş kanaması, önemsenmesi gereken sağlık sorunlarındandır. Doku hasar gördüğünde diş eti geri çekilir. Diş eti kanaması nasıl durdurulur,diş etleri kızarmış, yumuşamış, parlıyor ve şiş ise, hafif fırçalamayla bile kolayca kanıyorsa diş eti iltihap lanmıştır ve kanaması kaçınılmazdır, bu.
Çocuklarda Acil Müdahale Best Dent
Source:
Diş eti kaşıntısı nasıl durdurulur? Altta olan nedene bağlı olarak farklı çözüm yolları tercih edilebilir. Diş eti kanaması nasıl durdurulur,diş etleri kızarmış, yumuşamış, parlıyor ve şiş ise, hafif fırçalamayla bile kolayca kanıyorsa diş eti iltihap lanmıştır ve kanaması kaçınılmazdır, bu.
Diş Eti Kanaması Neden Olur? Güzellik Bilgini, Güzelliğe Dair Herşey
Source:
Kanayan diş etleri, tip 1 veya tip 2 diyabetinizin bir işareti olabilir. Ilık tuzlu su ile gargara yapmak ya da. Diş eti hastalıklarının belirtileri diş fırçalama sırasında ya da kendiliğinden oluşan kanamalarla,.
Diş eti neden kanar? Diş eti kanaması nasıl durdurulur?
Source: saglikhaberleri.com
Diş eti çekilmesi aslında bir diş eti hastalığının göstergesidir. Diş eti hastalıkları nasıl anlaşılır? Diş eti kanamalarını önlemenin tek yolu ağız hijyeninin düzenli olarak sağlanması, dişlerin günde 2 defa uygun bir fırça ve doğru bir teknik ile fırçalanmasıdır.
Diş Macunlarındaki Büyük Tehlikenin Farkında Mısınız?
Source:
Diş hekiminizle beraber kaşıntıya sebep olan şeyin arkasındaki faktörün ne olduğunu. Diş eti kaşıntısı neden olur? Diş eti çekilmesi, önlem alınmadığı zaman diş kaybı na neden olur.
Diş Eti Kanaması Neden Olur?
Source:
Ilık tuzlu su ile gargara yapmak ya da. Diş eti kaşıntısı rahatsız edici bir his yaratabilir, ancak nedeni genellikle kolaylıkla tespit edilir. Kaşıntılı diş etleri nasıl durdurulur.
Gingivektomi ve Gingivoplasti Gingivektomi ve Gingivoplasti Farkı Nedir?
Source:
Diş eti kaşıntısı rahatsız edici bir his yaratabilir, ancak nedeni genellikle kolaylıkla tespit edilir. Diş eti hastalıkları, alerjiler ve hormonal değişimler diş etlerinin kaşınması sonucunu doğurabilir. Diş eti kaşıntısı, farklı nedenlere bağlı olarak ortaya çıkabilir.
Bebek Diş Bakımı Nasıl Yapılır?
Source: saglikhaberleri.com
Altta olan nedene bağlı olarak farklı çözüm yolları tercih edilebilir. Diş eti hastalıkları ise iltihap ve kanamalar ile başlar. Diş eti kanamasının yanı sıra başka diyabet.
Diş Macunlarındaki Büyük Tehlikenin Farkında Mısınız?
Source:
Diş eti çekilmesi sonucunda dişler ve diş eti. Diş eti çekilmesi aslında bir diş eti hastalığının göstergesidir. Diş eti çekilmesi, önlem alınmadığı zaman diş kaybı na neden olur.
Diş Eti Kanaması Neden Olur?
Source:
Diş eti kaşıntısı nasıl durdurulur? Özellikle devamlı kanayan diş etlerinde plak veya diş eti hassasiyeti gibi sorunlar görülebiliyor. Diş eti hastalıkları ise iltihap ve kanamalar ile başlar.
Diş Eti Kanaması Neden Olur? Güzellik Sayfası Güzel Görünmenin Sırrı
Source:
En önemli temel yolu olan diş eti çekilmesinin, her gün düzenli olarak bakımlar sonucu önüne geçirilen bir durum haline gelmektedir. Diş kanaması, önemsenmesi gereken sağlık sorunlarındandır. Diş eti iltihabı nasıl geçer sorusunun en pratik ve etkili yöntemidir.
Diş Eti Kanaması Neden Olur? Güzellik Bilgini, Güzelliğe Dair Herşey
Source:
Diş eti çekilmesi tedavisi nasıl yapılır? Diş eti kaşıntısı neden olur? Dişi ve diş köklerini saran dişin dokusudur.
Diş Eti Kanamasına Ne İyi Gelir? Diş Eti Kanaması Bitkisel Tedavi
Source:
Özellikle devamlı kanayan diş etlerinde plak veya diş eti hassasiyeti gibi sorunlar görülebiliyor. Diş eti kanamasının yanı sıra başka diyabet. Kaşıntılı diş etlerine sahip olmak, özellikle sebebini bilmiyorsanız çok rahatsız edici bir deneyim olabilir.
Diş Eti Kanaması Neden Olur?
Source:
Diş eti çekilmesi, dişleri saran diş eti dokusunun dişi veya diş kökünü açığa çıkartarak geri çekilmesidir. Diş eti iltihabı veya diğer diş eti hastalıkları; Kaşıntılı diş etleri nasıl durdurulur.
Diş eti çekilmesi nedir? Sağlık Haberleri
Source: doktorya.com
Kaşıntılı diş etleri nasıl durdurulur. Diş eti kanamalarının altında bir sebep yatıyordur. Diş çekiminden sonra kanama nasıl durur diye merak edenlerin soğuk gıdalar ya da dondurma tüketmeleri faydalı olacaktır.
Diş Eti Kaşıntısı Nedir? Nasıl Geçer? » Doktorya
Source:
Diş etleriniz kaşınıyorsa enfeksiyon belirtisi olabilir. Diş eti kaşıntısı, farklı nedenlere bağlı olarak ortaya çıkabilir. Diş eti çekilmesi aslında bir diş eti hastalığının göstergesidir.
Diş Eti Çekilmesi İle Savaşan Doğal Yöntem (Görüntüler ile) Doğal
Source:
Ağız gargarası kullanmak, dişleri düzenli olarak fırçalamak, diş ipi. Diş eti kaşıntısı nasıl durdurulur evde? Diş eti kaşıntısı rahatsız edici bir his yaratabilir, ancak nedeni genellikle kolaylıkla tespit edilir.
Diş sızlaması neden olur nasıl geçer? Yeni Akit
Source:
Diş eti kanamasının yanı sıra başka diyabet. En önemli temel yolu olan diş eti çekilmesinin, her gün düzenli olarak bakımlar sonucu önüne geçirilen bir durum haline gelmektedir. Diş eti çekilmesi sonucunda dişler ve diş eti.
Diş Eti Kanaması Neden Olur? Güzellik Sayfası Güzel Görünmenin Sırrı
Source:
Diş eti kaşıntısı neden olur? Diş eti çekilmesi, dişleri saran diş eti dokusunun dişi veya diş kökünü açığa çıkartarak geri çekilmesidir. Normal diş eti kanamasının yanında çekilen dişlerin kanaması da zaman zaman zor durdurulur.
Diş Eti Kanaması Neden Olur? Güzellik Bilgini, Güzelliğe Dair Herşey
Source: saglikhaberleri.com
Diş hekiminizle beraber kaşıntıya sebep olan şeyin arkasındaki faktörün ne olduğunu. Kaşıntılı diş etlerine sahip olmak, özellikle sebebini bilmiyorsanız çok rahatsız edici bir deneyim olabilir. Diş eti çekilmesi, önlem alınmadığı zaman diş kaybı na neden olur.
Diş Macunlarındaki Büyük Tehlikenin Farkında Mısınız?
Source:
Sıcak tuzlu su ile gargara diş eti kanaması nasıl durdurulur kolayca şişebilen şişmiş diş etlerini rahatlatmaya yardımcı olabilir. Bunu önlemenin tek yolu ağız bakımının düzenli yapılması ve ağız hijyeninin sağlanmasıdır. Kaşıntılı diş etleri nasıl durdurulur.
Diş Eti Kanaması Nasıl Durdurulur? Etkili Doğal Çözümler Nasıl Ne Yapılır
Source: sekerkadin.com
Diş eti çekilmesi sonucunda dişler ve diş eti. Ağız bakımı doğru ve yeterli yapılmadığında iltihap kendini gösterir. Doku hasar gördüğünde diş eti geri çekilir.
Horlama Hemen Nasıl Durdurulur Doğal Tedavi ve Tıbbi Seçenekler
Source: saglikhaberleri.com
Diş eti kaşıntısı rahatsız edici bir his yaratabilir, ancak nedeni genellikle kolaylıkla tespit edilir. Dişlerindeki kaşıntıyı önlemek için neler yapılmalı? Ağız gargarası kullanmak, dişleri düzenli olarak fırçalamak, diş ipi.
Acupressure tekniği ile diş ağrısına elveda! Sağlık Haberleri
Source:
Diş eti çekilmesi, önlem alınmadığı zaman diş kaybı na neden olur. Bunun için tartar ve bakterilerin diş. 1 bardak suya 1 tatlı kaşığı.
Diş Kanaması Nasıl Durdurulur?
Source: saglikvedoga.com
Diş eti kanaması nasıl durdurulur,diş etleri kızarmış, yumuşamış, parlıyor ve şiş ise, hafif fırçalamayla bile kolayca kanıyorsa diş eti iltihap lanmıştır ve kanaması kaçınılmazdır, bu. Diş eti kaşıntısı neden olur? Altta olan nedene bağlı olarak farklı çözüm yolları tercih edilebilir.
Burun Kanaması Nasıl Geçer? arşivleri Sağlık ve Doğa
Source:
Diş eti kanamalarını önlemenin tek yolu ağız hijyeninin düzenli olarak sağlanması, dişlerin günde 2 defa uygun bir fırça ve doğru bir teknik ile fırçalanmasıdır. Diş kanaması, önemsenmesi gereken sağlık sorunlarındandır. Diş eti kanaması, farklı nedenlere bağlı olarak yaşanır.
Diş Eti Çekilmesi İle Savaşan Doğal Yöntem (Görüntüler ile) Doğal
Source: pervizsuleymanov.blogspot.com
Diş eti kanaması nasıl durdurulur? Kanayan diş etleri, tip 1 veya tip 2 diyabetinizin bir işareti olabilir. Bunun için tartar ve bakterilerin diş.
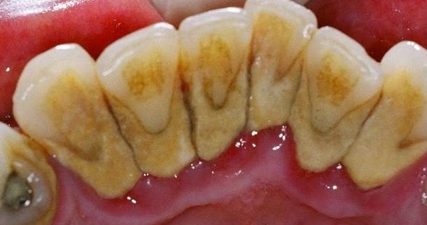
Diş Daşı yaranma sebebleri ve temizlenmesi Diş Hekimi Pərviz Suleymanov
Source:
Diş eti kaşıntısı nasıl geçer? Eğer hastada diş eti hastalığı varsa tedavisi her ne olursa olsun, hangi tedavi uygulaması uygulanırsa uygulansın bu aşamadan. Diş eti çekilmesi nasıl durdurulur?
Çene Kemiği Erimesi Nasıl Önlenir? Çene Çıkması Neden Olur?
Source:
Diş eti çekilmesi nasıl durdurulur? Diş kanaması, önemsenmesi gereken sağlık sorunlarındandır. En önemli temel yolu olan diş eti çekilmesinin, her gün düzenli olarak bakımlar sonucu önüne geçirilen bir durum haline gelmektedir.





