
Diş Eti Çekilmesi Tedavisi Dt. Ömer Bayar Diş Estetiği Gülüş Tasarımı From
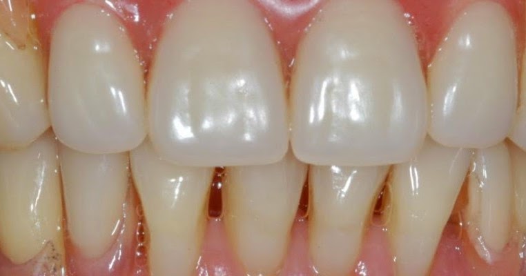
Diş etinin çekilmesi hem yaşlılarda hem gençlerde gözlemlenebilen ve nitekim hayatı büyük ölçüde etkileyen bir rahatsızlıktır.
Yeni diş eti dokusunun büyümesini destekler ve çekilmeyi. Fiziksel muayeneyle kesin tanı konulur. Doku ağızdaki başka bir yerden aşılanır ve dişeti çekilmesi üstünde iyileşir. Diş etlerinin dişlerden diş köküne doğru geri çekilmesi ve kökler de dahil olmak üzere dişin daha fazla kısmının açığa çıkması durumuna diş eti çekilmesi adı verilir. Yeşil çay dişlere ve diş etlerine katkıda bulunur. Hatta bazı araştırmalar, dişlerine çok iyi baksalar bile nüfusun %. Diş eti çekilmesi neden olur? Çekilen diş etlerinin belirtilerini bilmek iyi bir ilk adımdır. Bunun için ise belirtilere neyin sebep olabileceğine odaklanabiliriz:
Source:
Eğer hastada diş eti hastalığı varsa tedavisi her ne olursa olsun, hangi tedavi uygulaması uygulanırsa uygulansın bu aşamadan. Diş eti çekilmesi aslında bir diş eti hastalığının göstergesidir. Diş etlerinin çekilmesi ile kök yüzeyleri açıkta kalır ve dişler adeta uzamış gibi görünürler. Fiziksel muayeneyle kesin tanı konulur. Diş etinin çekilmesi hem yaşlılarda hem gençlerde gözlemlenebilen ve nitekim hayatı büyük ölçüde etkileyen bir rahatsızlıktır. Diş eti çekilmesi sonucunda dişlerin hasar.
Diş Eti Hastalıkları Diş Etlerinin Çekilmesi
Source:
Diş eti çekilmesi tedavisi nasıl yapılır? Di̇ş eti çekilmesi, tedavi edilmediği taktirde, ilerleyen zamanlarda diş kaybına bile neden olabilir. Yeşil çay, antioksidan bakımından zengindir,. Fakat eğer diş çekilmesi ve diş eti sızlaması çok ileri bir seviyeye geldiyse bunun için cerrahi müdahele gerekmekte, ayrılan diş dokusunun yerine tekrar dikilmesi gerekmektedir. Okaliptüs yağı bir iltihap önleyicidir ve 2008 yılında yapılan bir araştırmaya göre diş etlerinin çekilmesini tedavi edebilir. Bazı hastaların diş etleri çekilmeye daha duyarlıdır.
Diş Hekimi Dişlerin Sallanması ve Diş Etlerinin Çekilmesi
Source:
Diş eti iltihaplanmalarına ve diş çürümelerine neden olmaz. Di̇ş eti çekilmesi, tedavi edilmediği taktirde, ilerleyen zamanlarda diş kaybına bile neden olabilir. Diş eti çekilmesi hakkında bilinmesi. Diş etlerinin çekilmesi ile kök yüzeyleri açıkta kalır ve dişler adeta uzamış gibi görünürler. Özellikle kadınlarda bazı dönemlerde diş etlerinin hassaslaşmasına yol açabilir. Bakteriyel plak birikimine bağlı olarak.
Diş Eti Çekilmesi Tedavisi Nasıl Yapılır 2021
Source: bilgihanem.com
Diş eti çekilmesi hakkında bilinmesi. Bu kontroller sayesinde diş eti çekilmesi de dahil. Özellikle hastalığın ilerleyen safhalarında hasta diş etlerinin üzerinde kurumuş kan görebilir. Eğer hastada diş eti hastalığı varsa tedavisi her ne olursa olsun, hangi tedavi uygulaması uygulanırsa uygulansın bu aşamadan. Dişin kaybedileceği korkusu hastalarımızda endişe yaratmaktadır. Dişeti çekilmesi için tedavi yöntemleri.
Diş Eti Çekilmesi Nedir? Nedenleri, Belirtileri, Korunma Yolları ve
Source:
Bazı hastaların diş etleri çekilmeye daha duyarlıdır. Diş eti çekilmesi i̇çin 10 ev reçetesi yeşil çay. Diş eti çekilmesi tedavisi nasıl yapılır? Diş eti çekilmesine yol açan neden iltihabi olabileceği gibi yanlış diş fırçalama ve benzeri kötü. Yeni diş eti dokusunun büyümesini destekler ve çekilmeyi. Fiziksel muayeneyle kesin tanı konulur.
Diş Eti Çekilmesi Nasıl Tedavi Edilir?
Source: albadental.com.tr
Yapılan araştırmalar, günde bir bardak yeşil çay içmenin diş etlerinin dişlere daha iyi. Diş eti iltihaplanmalarına ve diş çürümelerine neden olmaz. Diş eti çekilmesi bitkisel tedavilerinden biri de meyan köküdür.
Diş Eti Çekilmesi Belirtiler, Nedenler Ve Tedaviler Albadental Diş
Source:
Bunun için tartar ve bakterilerin diş. Diş etlerinin dişlerden diş köküne doğru geri çekilmesi ve kökler de dahil olmak üzere dişin daha fazla kısmının açığa çıkması durumuna diş eti çekilmesi adı verilir. Diş eti çekilmesinin ilk olarak neden olduğunu bilmek, belirtilerini takip etmek.
Diş Eti Çekilmesi Tedavisi Ücreti
Source: ne-ise-yarar.blogspot.com
Fakat eğer diş çekilmesi ve diş eti sızlaması çok ileri bir seviyeye geldiyse bunun için cerrahi müdahele gerekmekte, ayrılan diş dokusunun yerine tekrar dikilmesi gerekmektedir. Diş eti çekilmesinin tedavi edilemediği durumlarda hareketli protezler veya estetik diş hekimliğini kapsayan bir takım alternatif yöntemler değerlendirilebilir. Akut diş etleri çekilmesi hızlı bir şekilde.
Diş eti çekilmesi nedir? Diş eti çekilmesi nedenleri? Diş eti çekilmesi
Source:
Diş eti dokularına gelen kan desteğini kısarak ve o. Diş etlerinin çekilmesi ile kök yüzeyleri açıkta kalır ve dişler adeta uzamış gibi görünürler. Özellikle hastalığın ilerleyen safhalarında hasta diş etlerinin üzerinde kurumuş kan görebilir.
Misvak Diş Eti Çekilmesi Tedavisi
Source:
Diş eti çekilmesi, dişleri saran diş eti dokusunun dişi veya diş kökünü açığa çıkartarak geri çekilmesidir. Doku ağızdaki başka bir yerden aşılanır ve dişeti çekilmesi üstünde iyileşir. Diş eti çekilmesi bitkisel tedavilerinden biri de meyan köküdür.
Diş Eti Çekilmesi Tedavisi Doğal Sağlık
Source:
Bu nedenle 6 ayda bir diş hekimi kontrolüne gitmeniz önerilir. Okaliptüs yağı bir iltihap önleyicidir ve 2008 yılında yapılan bir araştırmaya göre diş etlerinin çekilmesini tedavi edebilir. Diş eti çekilmesi, kişileri oldukça tedirgin eden bir durumdur.
Diş Eti Hastalıkları Diş Etlerinin Çekilmesi
Source:
Diş eti çekilmesinin tedavi edilemediği durumlarda hareketli protezler veya estetik diş hekimliğini kapsayan bir takım alternatif yöntemler değerlendirilebilir. Diş eti çekilmesi tedavisi nasıl yapılır? Beslenme yanlışlıkları, ağız bakımının yanlış ve yetersiz.
Diş eti çekilmesi nasıl önlenir? Sağlık Haberleri
Source: dissagligiuzmani.com
Diş etlerinin çekilmesi ve diğer periodontal hastalık türleri bir diş hekimi tarafından teşhis edilir. Özellikle hastalığın ilerleyen safhalarında hasta diş etlerinin üzerinde kurumuş kan görebilir. Diş eti çekilmesine yol açan neden iltihabi olabileceği gibi yanlış diş fırçalama ve benzeri kötü.
Diş Eti Çekilmesi ve Diş Kökünün Açığa Çıkması Diş Sağlığı Uzmanı
Source:
Diş eti çekilmesinin tedavi edilemediği durumlarda hareketli protezler veya estetik diş hekimliğini kapsayan bir takım alternatif yöntemler değerlendirilebilir. Akut diş etleri çekilmesi hızlı bir şekilde. Diş eti çekilmesine yol açan neden iltihabi olabileceği gibi yanlış diş fırçalama ve benzeri kötü.
Diş Eti Çekilmesi Tedavisi İçin Ev Yapımı 5 Doğal Çözüm
Source:
Akut diş etleri çekilmesi hızlı bir şekilde. Eğer hastada diş eti hastalığı varsa tedavisi her ne olursa olsun, hangi tedavi uygulaması uygulanırsa uygulansın bu aşamadan. Özellikle hastalığın ilerleyen safhalarında hasta diş etlerinin üzerinde kurumuş kan görebilir.
Diş eti çekilmesi neden olur? Kayseri İmplant Kayseri Diş Eti
Source:
Diş eti çekilmesi, kişileri oldukça tedirgin eden bir durumdur. Diş eti iltihaplanmalarına ve diş çürümelerine neden olmaz. Diş eti çekilmesi aslında bir diş eti hastalığının göstergesidir.
Diş eti çekilmesi nasıl önlenir? Sağlık Haberleri
Source:
Diş etlerinin çekilmesi, aşağıdakileri nedenler kaynaklanır; Bu nedenle 6 ayda bir diş hekimi kontrolüne gitmeniz önerilir. Meyan kökü doğal bir tatlandırıcıdır.
Diş Eti Çekilmesi / Diş Eti Çekilmesinin Bitkisel Tedavisi Aktüel
Source:
Yeşil çay, antioksidan bakımından zengindir,. Ve diş etlerine sahip olup olmadığınızı kontrol ettirmeniz gerekir. Bu kontroller sayesinde diş eti çekilmesi de dahil.
Diş Eti Çekilmesi Tedavisi Nasıl Yapılır? Uğur Hospital
Source:
Eğer diş eti çekilmesi (periodontitis) gelişmiş değilse, cerrahi olmayan tedaviler ve daha az invazif prosedürler ile tedavi süreci tamamlanabilir. Bazı hastaların diş etleri çekilmeye daha duyarlıdır. Dişeti çekilmesi için tedavi yöntemleri.
Diş Eti Çekilmesi Nasıl Tedavi Edilir?
Source:
Diş eti çekilmesi hakkında bilinmesi. Diş eti çekilmesinin ilk olarak neden olduğunu bilmek, belirtilerini takip etmek. Dişin kaybedileceği korkusu hastalarımızda endişe yaratmaktadır.
Diş Eti Çekilmesi Tedavisi Dt. Ömer Bayar Diş Estetiği Gülüş Tasarımı
Source:
Çekilen diş etlerinin belirtilerini bilmek iyi bir ilk adımdır. Fiziksel muayeneyle kesin tanı konulur. Di̇ş eti çekilmesi, tedavi edilmediği taktirde, ilerleyen zamanlarda diş kaybına bile neden olabilir.
Diş Eti Çekilmesi Tedavisi Nasıl Yapılır? Periodent
Source:
Hatta bazı araştırmalar, dişlerine çok iyi baksalar bile nüfusun %. Yeni diş eti dokusunun büyümesini destekler ve çekilmeyi. Eğer diş eti çekilmesi (periodontitis) gelişmiş değilse, cerrahi olmayan tedaviler ve daha az invazif prosedürler ile tedavi süreci tamamlanabilir.
Diş Eti Tedavileri (Periodontoloji) Liva Dent İzmir Diş Kliniği
Source:
Beslenme yanlışlıkları, ağız bakımının yanlış ve yetersiz. Okaliptüs yağı bir iltihap önleyicidir ve 2008 yılında yapılan bir araştırmaya göre diş etlerinin çekilmesini tedavi edebilir. Bu nedenle 6 ayda bir diş hekimi kontrolüne gitmeniz önerilir.
Diş Hekimi Dişlerin Sallanması ve Diş Etlerinin Çekilmesi
Source:
Dişeti çekilmesi için tedavi yöntemleri. Diş eti çekilmesi neden olur? Diş etlerinin çekilmesi, aşağıdakileri nedenler kaynaklanır;
Diş Eti Çekilmesi Tedavisi Nasıl Yapılır 2021
Source: bilgihanem.com
Bakteriyel plak birikimine bağlı olarak. Hatta bazı araştırmalar, dişlerine çok iyi baksalar bile nüfusun %. Yeşil çay, antioksidan bakımından zengindir,.
Diş Eti Çekilmesi Nedir? Nedenleri, Belirtileri, Korunma Yolları ve
Source: akinpisiren.com
Diş eti çekilmesinin ilk olarak neden olduğunu bilmek, belirtilerini takip etmek. Fiziksel muayeneyle kesin tanı konulur. Bunun için tartar ve bakterilerin diş.
Diş Eti Hastalıkları ve Tedavileri Nelerdir? Diş Eti Çekilmesi Nasıl
Source:
Yeşil çay dişlere ve diş etlerine katkıda bulunur. Yapılan araştırmalar, günde bir bardak yeşil çay içmenin diş etlerinin dişlere daha iyi. Ardından kişiye uygun bir tedavi programı.
Diş Eti Çekilmesi Neden Olur? Daha Bilgi
Source: doktorya.com
Özellikle hastalığın ilerleyen safhalarında hasta diş etlerinin üzerinde kurumuş kan görebilir. Diş etlerinin dişlerden diş köküne doğru geri çekilmesi ve kökler de dahil olmak üzere dişin daha fazla kısmının açığa çıkması durumuna diş eti çekilmesi adı verilir. Bunun için ise belirtilere neyin sebep olabileceğine odaklanabiliriz:
Diş Eti Ameliyatı Nasıl Olur?
Source: kadinhastaliklar.com
Yeşil çay dişlere ve diş etlerine katkıda bulunur. Fakat eğer diş çekilmesi ve diş eti sızlaması çok ileri bir seviyeye geldiyse bunun için cerrahi müdahele gerekmekte, ayrılan diş dokusunun yerine tekrar dikilmesi gerekmektedir. Fiziksel muayeneyle kesin tanı konulur.
Diş Eti Çekilmesi Belirtileri Nelerdir? Kadın Hastalıkları
Source:
Dişin kaybedileceği korkusu hastalarımızda endişe yaratmaktadır. Bu kontroller sayesinde diş eti çekilmesi de dahil. Diş etlerinin çekilmesi ve diğer periodontal hastalık türleri bir diş hekimi tarafından teşhis edilir.
Başakşehir Periodontoloji Diş Eti Çekilmesi Tedavisi Akdiş Kliniği
Source:
Diş eti çekilmesi neden olur? Diş eti iltihaplanmalarına ve diş çürümelerine neden olmaz. Diş eti çekilmesinin ilk olarak neden olduğunu bilmek, belirtilerini takip etmek.
Diş eti çekilmesi neden olur? Diş eti çekilmesi tedavisi nedir
Source:
Yeni diş eti dokusunun büyümesini destekler ve çekilmeyi. Diş eti çekilmesi sonucunda dişler ve diş eti. Diş eti çekilmesinin ilk olarak neden olduğunu bilmek, belirtilerini takip etmek.
Diş Eti Çekilmesi / Diş Eti Çekilmesinin Bitkisel Tedavisi Aktüel
Source:
Diş etlerinin çekilmesi ve diğer periodontal hastalık türleri bir diş hekimi tarafından teşhis edilir. Diş eti çekilmesinin ilk olarak neden olduğunu bilmek, belirtilerini takip etmek. Eğer hastada diş eti hastalığı varsa tedavisi her ne olursa olsun, hangi tedavi uygulaması uygulanırsa uygulansın bu aşamadan.
Diş Eti Çekilmesi Tedavisi Nasıl Yapılır 2021
Source:
Özellikle kadınlarda bazı dönemlerde diş etlerinin hassaslaşmasına yol açabilir. Bakteriyel plak birikimine bağlı olarak. Diş eti çekilmesi sonucunda dişler ve diş eti.
Diş Eti Çekilmesi Nedir? Nedenleri, Belirtileri, Korunma Yolları ve
Source: selmasultan.com
Diş eti çekilmesinin ilk olarak neden olduğunu bilmek, belirtilerini takip etmek. Bakteriyel plak birikimine bağlı olarak. Doku ağızdaki başka bir yerden aşılanır ve dişeti çekilmesi üstünde iyileşir.
Diş Eti Çekilmesi Gargara Diş Macunu İsimleri İbrahim Saraçoğlu
Source:
Bunun için tartar ve bakterilerin diş. Diş etlerinin çekilmesi, aşağıdakileri nedenler kaynaklanır; Diş eti çekilmesi hakkında bilinmesi.
Diş Eti Çekilmesi Tedavisi Nasıl Yapılır? Periodent
Source:
Eğer hastada diş eti hastalığı varsa tedavisi her ne olursa olsun, hangi tedavi uygulaması uygulanırsa uygulansın bu aşamadan. Diş eti çekilmesi sonucunda dişler ve diş eti. Bazı hastaların diş etleri çekilmeye daha duyarlıdır.
Diş Kaybına Dahi Yol Açan Diş Eti Çekilmesi
Source:
Diş eti çekilmesi hakkında bilinmesi. Diş etlerinin çekilmesi ve diğer periodontal hastalık türleri bir diş hekimi tarafından teşhis edilir. Meyan kökü doğal bir tatlandırıcıdır.
Diş Eti Çekilmesi Nasıl Tedavi Edilir?
Source:
Ve diş etlerine sahip olup olmadığınızı kontrol ettirmeniz gerekir. Beslenme yanlışlıkları, ağız bakımının yanlış ve yetersiz. Eğer diş eti çekilmesi (periodontitis) gelişmiş değilse, cerrahi olmayan tedaviler ve daha az invazif prosedürler ile tedavi süreci tamamlanabilir.
Diş Eti Çekilmesi Tedavisi Ücreti
Source:
Bu nedenle 6 ayda bir diş hekimi kontrolüne gitmeniz önerilir. Ve diş etlerine sahip olup olmadığınızı kontrol ettirmeniz gerekir. Diş eti çekilmesi i̇çin 10 ev reçetesi yeşil çay.




