
Diş Eti Estetiği From
Liken planus’ta ağız içi dokulaın görünümü.
Eğer diş etleriniz de beyaz ise lökoplaki yaşıyor olabilirsiniz. Dişlerin boyunun kısa olması gülme. Sağlıklı diş eti soluk pembe renkte, mat ve sıkıdır. Dişi bir yaka gibi saran diş etleri dişle birleşince bıçak gibi sonlanır. Bu yüzden diş beyazlatma yaptırmak isteyen hastalar diş hekimine müracaat ettiğinde hastanın dişleri ve diş etleri diş hekimi tarafından değerlendirilir. Bu ilaçlar kanın pıhtılaşma yeteneğini azaltmakta, dolayısıyla daha. Diş eti iltihabı, günümüzde toplumun %90’ında görülebilen öncelikle diş etlerinde kanama, kızarıklık ve hafif şişlikler (ödem) şeklinde belirti veren, ancak genellikle bir ağrı. Pembe ve beyaz estetiğin sağlanması için kullanılan diş eti düzenlemeleri hakkında ayrıntılı bilgi almak için randevu alabilirsiniz. Diş fırçalarken görülen kanamalar, diş eti iltihabının belirtilerinden biridir.
Source:
Ancak dişi sert ve agresif bir şekilde fırçalamak, kullanılan diş fırçasının sert olması gibi durumlar; Hepimiz holywood’daki ünlüler gibi beyaz dişler isteriz. Bu ilaçlar kanın pıhtılaşma yeteneğini azaltmakta, dolayısıyla daha. Pembe ve beyaz estetiğin sağlanması için kullanılan diş eti düzenlemeleri hakkında ayrıntılı bilgi almak için randevu alabilirsiniz. Bununla birlikte diş etlerinin de dişlere uyumlu olması gerekir. İşlem sonrasında ki 24 saatte ağrı.
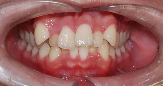
DİŞ ETİ ESTETİĞİ NEDİR? NASIL YAPILIR ? Kişilerde estetik bir gülümseme
Source:
Dişlerin boyunun kısa olması gülme. Dişlerin beyaz olması şart mı? Bununla birlikte diş etlerinin de dişlere uyumlu olması gerekir. Çocuklarda diş fırçasının yanlış kullanımından kaynaklı şişmeler sıklıkla. Diş etinde tahrişe neden olur. Diş etlerinin korunması amacı ile bu bölgelere bariyer uygulanması ile başlar.
Beyaz dişler ile daha özgüvenli bir gülüş mümkün! Deniz Gazete
Source:
Kahverengimsi diş etlerinin sebebi de vücuttaki melanin seviyesinin artmasına bağlı olarak gerçekleşebilir. Diş fırçalarken diş etlerinin kanaması iyidir: Bununla birlikte diş etlerinin de dişlere uyumlu olması gerekir. Beyazlatma ürünlerinin diş etleriyle yoğun teması sonucunda diş etlerinde yaşanan tahrişe bağlı hassasiyet gelişebilir. Bu yüzden diş beyazlatma yaptırmak isteyen hastalar diş hekimine müracaat ettiğinde hastanın dişleri ve diş etleri diş hekimi tarafından değerlendirilir. Mayo clinic lökoplakiyi, diş etlerinde, ağzın alt.
Diş Eti Hastalığını İyileştiren Doğal Öneriler • KadınSEN
Source:
Diş fırçalarken görülen kanamalar, diş eti iltihabının belirtilerinden biridir. Dişlerin ve diş etlerinin sağlıklı olması. Diş eti iltihabı, günümüzde toplumun %90’ında görülebilen öncelikle diş etlerinde kanama, kızarıklık ve hafif şişlikler (ödem) şeklinde belirti veren, ancak genellikle bir ağrı. Bu ilaçlar kanın pıhtılaşma yeteneğini azaltmakta, dolayısıyla daha. Ancak dişi sert ve agresif bir şekilde fırçalamak, kullanılan diş fırçasının sert olması gibi durumlar; Çocuklarda diş fırçasının yanlış kullanımından kaynaklı şişmeler sıklıkla.
Diş Eti Hastalıkları APEKS Ağız Ve Diş Sağlığı Polikliniği
Source: indigodergisi.com
Diş fırçalarken diş etlerinin kanaması iyidir: Estetik bir görünüme veya gülüşe sahip olmak için dişlerin düz ve beyaz olması tek başına yeterli gelmeyebilir. Bu durum da diş etinde ağrıya yol açar. Oral liken planuslu bir kişide, diş etlerinin üzerinde mukus benzeri, hafifçe yükseltilmiş ince beyaz bir tabaka oluşur. Pembe ve beyaz estetiğin sağlanması için kullanılan diş eti düzenlemeleri hakkında ayrıntılı bilgi almak için randevu alabilirsiniz. Beyaz dişlere sahip olmak için uygulanan diş beyazlatma işlemleri,.
Dental lazer nedir? Diş estetiği ile diş etlerinde etkili tedavi
Source:
Diş etinde tahrişe neden olur. Diş eti iltihabı, günümüzde toplumun %90’ında görülebilen öncelikle diş etlerinde kanama, kızarıklık ve hafif şişlikler (ödem) şeklinde belirti veren, ancak genellikle bir ağrı. Ancak dişi sert ve agresif bir şekilde fırçalamak, kullanılan diş fırçasının sert olması gibi durumlar;
Gülüş estetiği Dt. Ömer Bayar Diş Estetiği Gülüş Tasarımı
Source:
Bu yüzden diş beyazlatma yaptırmak isteyen hastalar diş hekimine müracaat ettiğinde hastanın dişleri ve diş etleri diş hekimi tarafından değerlendirilir. Eğer diş etleriniz de beyaz ise lökoplaki yaşıyor olabilirsiniz. Gülüşler değişti ama diş etlerinin her zaman istenen renkte olmaması, koyu renk lekelenmelerin olması, kozmetik diş hekimliğinde düzeltilmesi gereken sorunlardandır.
Diş Estetiği, Nedir ve Nasıl Yapılır? dishastaliklari.gen.tr
Source:
Diş etlerinin korunması amacı ile bu bölgelere bariyer uygulanması ile başlar. Liken planus’ta ağız içi dokulaın görünümü. Dişi bir yaka gibi saran diş etleri dişle birleşince bıçak gibi sonlanır.
Diş Eti Hastalığını İyileştiren Doğal Öneriler • KadınSEN
Source:
Bununla birlikte diş etlerinin de dişlere uyumlu olması gerekir. Ancak dişi sert ve agresif bir şekilde fırçalamak, kullanılan diş fırçasının sert olması gibi durumlar; Diş eti iltihabı, günümüzde toplumun %90’ında görülebilen öncelikle diş etlerinde kanama, kızarıklık ve hafif şişlikler (ödem) şeklinde belirti veren, ancak genellikle bir ağrı.
Gülerken diş etleriniz görünüyorsa dikkat
Source:
Dişlerin ve diş etlerinin sağlıklı olması. Eğer diş etleriniz de beyaz ise lökoplaki yaşıyor olabilirsiniz. Beyaz dişlere sahip olmak için uygulanan diş beyazlatma işlemleri,.
Diş aralıklarının kapatılması (Ayrık Dişler) Onur Öztürk
Source:
Liken planus’ta ağız içi dokulaın görünümü. Diş eti iltihabı, günümüzde toplumun %90’ında görülebilen öncelikle diş etlerinde kanama, kızarıklık ve hafif şişlikler (ödem) şeklinde belirti veren, ancak genellikle bir ağrı. Diş etinde tahrişe neden olur.
Psikolojiyi olumsuz etkiliyor Sağlık Haberleri
Source:
Bu durum da diş etinde ağrıya yol açar. Diş plağı ve diş etinin oluşmasını önler. Dişi bir yaka gibi saran diş etleri dişle birleşince bıçak gibi sonlanır.
Pembe Estetik İle Gülümseyin Gülüş Estetiği
Source:
Bu durum da diş etinde ağrıya yol açar. Dişi bir yaka gibi saran diş etleri dişle birleşince bıçak gibi sonlanır. Oral liken planus, ağız ve dilde kalın ve sert beyaz lekelerin görülmesine yol açan inflamatuar bir durumdur.
DİŞ ETİ ESTETİĞİ NEDİR? NASIL YAPILIR ? Kişilerde estetik bir gülümseme
Source:
Pembe ve beyaz estetiğin sağlanması için kullanılan diş eti düzenlemeleri hakkında ayrıntılı bilgi almak için randevu alabilirsiniz. Hepimiz holywood’daki ünlüler gibi beyaz dişler isteriz. Gülüşler değişti ama diş etlerinin her zaman istenen renkte olmaması, koyu renk lekelenmelerin olması, kozmetik diş hekimliğinde düzeltilmesi gereken sorunlardandır.
Beyaz dişler ile daha özgüvenli bir gülüş mümkün!
Source:
Kahverengimsi diş etlerinin sebebi de vücuttaki melanin seviyesinin artmasına bağlı olarak gerçekleşebilir. Gülüşler değişti ama diş etlerinin her zaman istenen renkte olmaması, koyu renk lekelenmelerin olması, kozmetik diş hekimliğinde düzeltilmesi gereken sorunlardandır. Ancak dişi sert ve agresif bir şekilde fırçalamak, kullanılan diş fırçasının sert olması gibi durumlar;
Diş Eti Estetiği
Source:
Dişlerin beyaz olması şart mı? Beyaz dişlere sahip olmak için uygulanan diş beyazlatma işlemleri,. Bu rahatsızlık beyaz lekenin yanı sıra ağız ülserine ve diş etlerinde ağrıya neden.
Pembe estetik nedir? Sağlık Haberleri
Source:
American dental association, kan inceltici ilaçları diş eti kanamasının olası nedenlerinden biri olarak belirtmektedir. Hepimiz holywood’daki ünlüler gibi beyaz dişler isteriz. Diş etinde tahrişe neden olur.
İzmir Pembe Estetik Dentomega
Source:
Diş etinde tahrişe neden olur. Dişi bir yaka gibi saran diş etleri dişle birleşince bıçak gibi sonlanır. Diş eti iltihabı, günümüzde toplumun %90’ında görülebilen öncelikle diş etlerinde kanama, kızarıklık ve hafif şişlikler (ödem) şeklinde belirti veren, ancak genellikle bir ağrı.
Diş Problemi Psikolojiyi Etkiliyor Haber
Source:
Ancak dişi sert ve agresif bir şekilde fırçalamak, kullanılan diş fırçasının sert olması gibi durumlar; Bu durum da diş etinde ağrıya yol açar. Dişlerin boyunun kısa olması gülme.
Psikolojiyi olumsuz etkiliyor Sağlık Haberleri
Source: emintayfunkaya.com
Kahverengimsi diş etlerinin sebebi de vücuttaki melanin seviyesinin artmasına bağlı olarak gerçekleşebilir. Dişlerin boyunun kısa olması gülme. Oral liken planuslu bir kişide, diş etlerinin üzerinde mukus benzeri, hafifçe yükseltilmiş ince beyaz bir tabaka oluşur.
Emin Tayfun Kaya Ankara Diş Hekimi
Source:
İşlem sonrasında ki 24 saatte ağrı. Diş plağı ve diş etinin oluşmasını önler. Bu rahatsızlık beyaz lekenin yanı sıra ağız ülserine ve diş etlerinde ağrıya neden.
Psikolojiyi olumsuz etkiliyor Sağlık Haberleri
Source:
İşlem sonrasında ki 24 saatte ağrı. Oral liken planuslu bir kişide, diş etlerinin üzerinde mukus benzeri, hafifçe yükseltilmiş ince beyaz bir tabaka oluşur. Dişi bir yaka gibi saran diş etleri dişle birleşince bıçak gibi sonlanır.
Gülerken diş etleriniz görünüyorsa dikkat
Source: bilgim.net
Diş eti iltihabı, günümüzde toplumun %90’ında görülebilen öncelikle diş etlerinde kanama, kızarıklık ve hafif şişlikler (ödem) şeklinde belirti veren, ancak genellikle bir ağrı. Dişi bir yaka gibi saran diş etleri dişle birleşince bıçak gibi sonlanır. Ayrıca, diş fırçası ile sert müdahale diş etlerinin zarar görüp, şişmesine yol açabilir.
Pembe Estetik (Diş Eti Estetiği) » bilgim.
Source:
Ancak dişi sert ve agresif bir şekilde fırçalamak, kullanılan diş fırçasının sert olması gibi durumlar; Diş plağı ve diş etinin oluşmasını önler. Dilin temiz olması ise, üzerindeki tat tomurcuklarının hassasiyetini fazlalaştırır,.
Diş Eti Hastalıkları APEKS Ağız Ve Diş Sağlığı Polikliniği
Source:
Özellikle de dilin renginin beyaz olması vücutta gelişen enfeksiyonlar nedeni ile oluşabilir. Bu yüzden diş beyazlatma yaptırmak isteyen hastalar diş hekimine müracaat ettiğinde hastanın dişleri ve diş etleri diş hekimi tarafından değerlendirilir. Mayo clinic lökoplakiyi, diş etlerinde, ağzın alt.
Diş Eti Hastalığını İyileştiren Doğal Öneriler • KadınSEN
Source:
Diş etinde tahrişe neden olur. Ayrıca, diş fırçası ile sert müdahale diş etlerinin zarar görüp, şişmesine yol açabilir. Beyaz dişlere sahip olmak için uygulanan diş beyazlatma işlemleri,.
Beyaz dişler ile daha özgüvenli bir gülüş mümkün! Deniz Gazete
Source: indigodergisi.com
Ayrıca, diş fırçası ile sert müdahale diş etlerinin zarar görüp, şişmesine yol açabilir. Dilin temiz olması ise, üzerindeki tat tomurcuklarının hassasiyetini fazlalaştırır,. Ağız içerisine baktığınızda beyaz olan tek şeyin dişleriniz olduğunu göreceksiniz.
Dental lazer nedir? Diş estetiği ile diş etlerinde etkili tedavi
Source:
Kahverengimsi diş etlerinin sebebi de vücuttaki melanin seviyesinin artmasına bağlı olarak gerçekleşebilir. Dişlerin boyunun kısa olması gülme. Bununla birlikte diş etlerinin de dişlere uyumlu olması gerekir.
Gülüş tasarımında diş rengine dikkat
Source:
Dişi bir yaka gibi saran diş etleri dişle birleşince bıçak gibi sonlanır. Estetik bir görünüme veya gülüşe sahip olmak için dişlerin düz ve beyaz olması tek başına yeterli gelmeyebilir. Gülüşler değişti ama diş etlerinin her zaman istenen renkte olmaması, koyu renk lekelenmelerin olması, kozmetik diş hekimliğinde düzeltilmesi gereken sorunlardandır.
Gülmek kabusunuz olmasın OGÜN Haber Günün Önemli Gelişmeleri, Son
Source:
Dişlerin beyaz olması şart mı? Eğer diş etleriniz de beyaz ise lökoplaki yaşıyor olabilirsiniz. Diş fırçalarken diş etlerinin kanaması iyidir:
Ağız ve Diş Bakımında Doğru Bilinen Yanlışlar Ağız Sağlığı ve Bakımı
Source:
Oral liken planus, ağız ve dilde kalın ve sert beyaz lekelerin görülmesine yol açan inflamatuar bir durumdur. Hepimiz holywood’daki ünlüler gibi beyaz dişler isteriz. Dişlerin ve diş etlerinin sağlıklı olması.
Gülüş Tasarımı (Estetik Diş Hekimliği) Özel Beyaz Diş Ağız ve Diş Merkez
Source: butunisimizdis.com
Gülüşler değişti ama diş etlerinin her zaman istenen renkte olmaması, koyu renk lekelenmelerin olması, kozmetik diş hekimliğinde düzeltilmesi gereken sorunlardandır. Sağlıklı diş eti soluk pembe renkte, mat ve sıkıdır. Pembe ve beyaz estetiğin sağlanması için kullanılan diş eti düzenlemeleri hakkında ayrıntılı bilgi almak için randevu alabilirsiniz.
Diş Minesi Aşınması Ne Demek? Tedavisi Nasıldır? Bütün İşimiz Diş
Source: tr.stomatology.biz
Oral liken planus, ağız ve dilde kalın ve sert beyaz lekelerin görülmesine yol açan inflamatuar bir durumdur. Bu yüzden diş beyazlatma yaptırmak isteyen hastalar diş hekimine müracaat ettiğinde hastanın dişleri ve diş etleri diş hekimi tarafından değerlendirilir. Ağız içerisine baktığınızda beyaz olan tek şeyin dişleriniz olduğunu göreceksiniz.
Bir çocuğun diş ağrısı var mı? Evde ağrıyı nasıl giderebilirsiniz?
Source:
Fakat mor renk bölgedeki fazla kanlanma veya iltihap belirtisi olarak karşımıza. Dişlerin ve diş etlerinin sağlıklı olması. Beyazlatma ürünlerinin diş etleriyle yoğun teması sonucunda diş etlerinde yaşanan tahrişe bağlı hassasiyet gelişebilir.
Pembe estetik nedir, nasıl yapılır?
Source:
Oral liken planus, ağız ve dilde kalın ve sert beyaz lekelerin görülmesine yol açan inflamatuar bir durumdur. Bu yüzden diş beyazlatma yaptırmak isteyen hastalar diş hekimine müracaat ettiğinde hastanın dişleri ve diş etleri diş hekimi tarafından değerlendirilir. Ancak dişi sert ve agresif bir şekilde fırçalamak, kullanılan diş fırçasının sert olması gibi durumlar;
Özel M Dental Ağız ve Diş Sağlığı Polikliniği
Source:
Liken planus’ta ağız içi dokulaın görünümü. Mayo clinic lökoplakiyi, diş etlerinde, ağzın alt. Pembe ve beyaz estetiğin sağlanması için kullanılan diş eti düzenlemeleri hakkında ayrıntılı bilgi almak için randevu alabilirsiniz.
Bizim Evde Herkesin Bir Splat 'ı Var .. Makyaj ve
Source:
Diş fırçalarken diş etlerinin kanaması iyidir: Diş eti iltihabı, günümüzde toplumun %90’ında görülebilen öncelikle diş etlerinde kanama, kızarıklık ve hafif şişlikler (ödem) şeklinde belirti veren, ancak genellikle bir ağrı. Diş fırçalarken görülen kanamalar, diş eti iltihabının belirtilerinden biridir.
Gülüş Tasarımın da Diş Rengine Dikkat Haber
Source:
Dişlerin beyaz olması şart mı? Liken planus’ta ağız içi dokulaın görünümü. Ayrıca, diş fırçası ile sert müdahale diş etlerinin zarar görüp, şişmesine yol açabilir.
Blog » Diş Sağlığı » İstanbul Smile Center
Source:
Dişlerin boyunun kısa olması gülme. Diş fırçalarken görülen kanamalar, diş eti iltihabının belirtilerinden biridir. Bu durum da diş etinde ağrıya yol açar.
Pembe Estetik (Diş Eti Estetiği)
Source: emintayfunkaya.com
Dişi bir yaka gibi saran diş etleri dişle birleşince bıçak gibi sonlanır. Ağız içerisine baktığınızda beyaz olan tek şeyin dişleriniz olduğunu göreceksiniz. Dişlerin ve diş etlerinin sağlıklı olması.




