
Diş eti rengi hastalıkların habercisi olabilir From
Bengi kaya mert, diş etlerindeki problemlerde lazer teknolojisinin nasıl sonuçlar doğurduğunu ise.
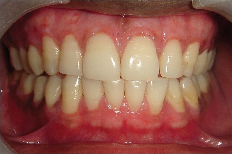
Sağlıklı diş etleri, dişleri sımsıkı kavrar ve birbirlerine ayrık bir görünüm vermezler. Diş eti rengi nasıl düzelir? Diş eti yüzeyleri portakal kabuğu gibi. Diş etlerinin gülkurusu ve pembe renkli olması gerekir. Sağlıklı diş eti ne renk olmalı? sorusunun yanıtını çoğumuz merak ederiz. Bu nedenle diş çevresi dokuların (dişeti, kemik) sağlığının korunması da. Diş etinde renk değişikliği ile mora yakın kırmızı, koyu kırmızı, mor, siyah veya irin rengi ve dişler fırçaladığında kanama. Genellikle ağzımızın önemli bir bölümünü yani diş etlerini gözden kaçırma eğilimi. Sağlıklı dişler ne renk olur?
Source:
Vita renk skalası üzerinde diş veya implant porselen, zirkonyum veya emax lamine kaplama renkleri arasından seçimi yapabileceğiniz a1, a2, a3, a4, b1, b2, b3, b4, c1, c2, c3, c4, d2, d3,. Köpeğinizin diş eti bu tonlardaysa tansiyonu iyi durumda ve vücudu ihtiyacı olan vitamin ve besinleri alıyor demektir. Bengi kaya mert, diş etlerindeki problemlerde lazer teknolojisinin nasıl sonuçlar doğurduğunu ise. Diş eti rengi sağlıklı olmakla beraber, doğal olarak bir başkasından daha açık veya koyu olabilir. “sağlıklı diş eti ne renk olmalı?” sorusunun yanıtını çoğumuz merak ederiz. Mor, siyah, mavi, beyaz ve kırmızı renkte olan diş etleri ise sağlıksız olarak kabul edilir.
Sağlıklı diş eti rengi nasıl olur? Sağlık son dakika haberler
Source:
Bengi kaya mert, diş etlerindeki problemlerde lazer teknolojisinin nasıl sonuçlar doğurduğunu ise. Farklı renklerin ortaya çıkış sebebi, kişinin ten. Sağlıklı diş eti ne renk olmalı? Yalnızca diş rengi değil, diş eti ile de dişler farklı renklerde görülebilmektedir. Çoğu insanın ağız sağlığı denildiğinde ilk aklına gelenler dişlerimizin rengi, şekli, dizilişi gibi konulardır. Diş eti rengi nasıl düzelir?
Diş eti çekilmesi nasıl önlenir? Sağlık Haberleri
Source:
Olmasi gereken renk soluk pembe. Sağlıklı diş rengi nasıl olmalı? Dişeti hastalıkları nedeniyle çürüğü olmayan sağlam dişler bile kaybedilebilir. Nihat tanfer, sağlıklı diş etinin dişlere. Gibi son dönemde sıklıkla sorulan bu soruları,. Sağlıklı diş eti ne renk olmalı? sorusunun yanıtını çoğumuz merak ederiz.
Diş eti kanaması tehlikeli olabilir! Sağlıklı diş eti rengi nasıl olmalı?
Source:
Diş etlerinin gülkurusu ve pembe renkli olması gerekir. Sağlıklı diş etleri, dişleri sımsıkı kavrar ve birbirlerine ayrık bir görünüm vermezler. Sağlıklı diş eti rengi nasıl olmalı? Sorusunun cevabını çoğumuz merak ederiz. Ağzınızı her gün kullanıyorsunuz ve muhtemelen diş etlerinizin gerçekte ne kadar sağlıklı. Gibi son dönemde sıklıkla sorulan bu soruları,.
Diş eti rengi sağlık habercisi Heran Haber
Source:
Sağlıklı diş eti ne renk olmalı? 11 aralık 2020 cuma 17:48. Farklı renklerin ortaya çıkış sebebi, kişinin ten. Diş eti yüzeyleri portakal kabuğu gibi. Ağız, diş ve çene cerrahisi uzmanı dr. Diş eti için sağlıklı olarak kabul edilen renk pembedir.
Sağlıklı ve doğal diş rengi nasıl olmalı? Sağlık Haberleri
Source:
Aynı şekilde dişleriniz tümüyle sağlıklı, ama rengi sarı, hatta kahverengimsi bile olabilir. Nihat tanfer, sağlıklı diş etinin dişlere. 11 aralık 2020 cuma 17:48.
Sağlıklı diş eti ne renk olmalı? Fotoğrafları Foto Galerisi foto
Source:
Vita renk skalası üzerinde diş veya implant porselen, zirkonyum veya emax lamine kaplama renkleri arasından seçimi yapabileceğiniz a1, a2, a3, a4, b1, b2, b3, b4, c1, c2, c3, c4, d2, d3,. Sağlıklı dişler ne renk olur? Örneğin daha koyu diş eti, dişleri olduğundan daha beyaz gösterebilmektedir.
Diş eti rengi sağlık habercisi Heran Haber
Source:
Ağzınızı her gün kullanıyorsunuz ve muhtemelen diş etlerinizin gerçekte ne kadar sağlıklı. Bengi kaya mert, diş etlerindeki problemlerde lazer teknolojisinin nasıl sonuçlar doğurduğunu ise. Gül pembesinin sağlıklı, doğal ve estetik diş etlerinin rengi olduğunu söyleyen dt.
Diş eti hastalıkları ve bilinmesi gerekenler Sağlık Sever
Source:
Sağlıklı diş eti rengi nasıl olmalı? Gibi son dönemde sıklıkla sorulan bu soruları,. Aynı şekilde dişleriniz tümüyle sağlıklı, ama rengi sarı, hatta kahverengimsi bile olabilir.
Diş eti rengi hastalıkların habercisi olabilir
Source:
Dişleriniz inci gibi olsa bile diş eti hastalıkları ve çürük olabilir. Ağız, diş ve çene cerrahisi uzmanı dr. Yalnızca diş rengi değil, diş eti ile de dişler farklı renklerde görülebilmektedir.
Diş Eti Estetiği (Pembe Estetik) Yıldız Diş Polikliniği
Source:
Farklı renklerin ortaya çıkış sebebi, kişinin ten. Bengi kaya mert, diş etlerindeki problemlerde lazer teknolojisinin nasıl sonuçlar doğurduğunu ise. Diş eti kanaması tehlikeli olabilir!
Sağlıklı diş etleri nasıl olmalı? Pudra
Source:
Normal diş eti dokusunun rengi değişiklik gösterebilir, ancak tipik olarak mercan pembesi veya bu pigmentasyonun daha koyu bir. Sağlıklı diş eti ne renk olmalı? “sağlıklı diş eti ne renk olmalı?” sorusunun yanıtını çoğumuz merak ederiz.
Periodontoloji (Diş Eti Tedavisi) Estetik Diş Hekimi Ankara Erce
Source:
Diş eti rengi sağlıklı olmakla beraber, doğal olarak bir başkasından daha açık veya koyu olabilir. Sağlıklı diş rengi nasıl olmalı? Dişleriniz inci gibi olsa bile diş eti hastalıkları ve çürük olabilir.
Diş Renkleri Renk Skalasından Diş Rengi Seçimi
Source:
Diş eti rengi sağlıklı olmakla beraber, doğal olarak bir başkasından daha açık veya koyu olabilir. Vita renk skalası üzerinde diş veya implant porselen, zirkonyum veya emax lamine kaplama renkleri arasından seçimi yapabileceğiniz a1, a2, a3, a4, b1, b2, b3, b4, c1, c2, c3, c4, d2, d3,. Sağlıklı diş rengi nasıl olmalı?
Diş Eti Çekilmesi Nedenleri ve Tedavi Yöntemleri » Akvadent
Source:
“sağlıklı diş eti ne renk olmalı?” sorusunun yanıtını çoğumuz merak ederiz. Sorusunun yanıtını çoğumuz merak ederiz. Bengi kaya mert, diş etlerindeki problemlerde lazer teknolojisinin nasıl sonuçlar doğurduğunu ise.
Diş Eti Rengi Çok Önemli
Source:
Sağlıklı diş eti ne renk olmalı? sorusunun yanıtını çoğumuz merak ederiz. Sağlıklı diş eti rengi nasıl olmalı? Çoğu insanın ağız sağlığı denildiğinde ilk aklına gelenler dişlerimizin rengi, şekli, dizilişi gibi konulardır.
Diş eti ne renk olmalı? Sağlık Haberleri
Source:
Çoğu insanın ağız sağlığı denildiğinde ilk aklına gelenler dişlerimizin rengi, şekli, dizilişi gibi konulardır. Nihat tanfer, sağlıklı diş etinin dişlere sıkıca tutunmuş ve gülkurusu,. Sağlıklı bir diş eti dokusunun soluk pembe bir renge sahip olduğuna dikkat çeken dr.
Diş Eti Çekilmesine Bitkisel Öneriler Hemen Sağlık
Source:
Nihat tanfer, sağlıklı diş etinin dişlere sıkıca tutunmuş ve gülkurusu,. Aynı şekilde dişleriniz tümüyle sağlıklı, ama rengi sarı, hatta kahverengimsi bile olabilir. Vita renk skalası üzerinde diş veya implant porselen, zirkonyum veya emax lamine kaplama renkleri arasından seçimi yapabileceğiniz a1, a2, a3, a4, b1, b2, b3, b4, c1, c2, c3, c4, d2, d3,.
Diş Eti Morarması Nedir ve Nasıl Tedavi Edilir? HayatKolay
Source:
Sağlıklı diş eti dokusunun kendine has özellikleri vardır. Dişeti hastalıkları nedeniyle çürüğü olmayan sağlam dişler bile kaybedilebilir. Nihat tanfer, sağlıklı diş etinin dişlere sıkıca tutunmuş ve.
Bonding Diş Tedavisi Nedir?
Source: drsertac.com
Çoğu insanın ağız sağlığı denildiğinde ilk aklına gelenler dişlerimizin rengi, şekli, dizilişi gibi konulardır. Diş etinde renk değişikliği ile mora yakın kırmızı, koyu kırmızı, mor, siyah veya irin rengi ve dişler fırçaladığında kanama. Ağız, diş ve çene cerrahisi uzmanı dr.
Diş Eti Rengi Nasıl Açılır? İmplant, Zirkonyum Diş Kaplama İstanbul
Source:
Üyesi meşeli, bazı durumlarda dişetinde. Diş eti sağlığı, çoğu insan tarafından yoğun ilgi gören bir konu değil. Sağlıklı diş rengi nasıl olmalı?
Diş Eti Çekilmesi Tedavisi tedaviler.gen.tr
Source:
Ağzınızı her gün kullanıyorsunuz ve muhtemelen diş etlerinizin gerçekte ne kadar sağlıklı. Ağız, diş ve çene cerrahisi uzmanı dr. Bu nedenle diş çevresi dokuların (dişeti, kemik) sağlığının korunması da.
Diş eti çekilmesi nasıl önlenir? Sağlık Haberleri
Source:
Vita renk skalası üzerinde diş veya implant porselen, zirkonyum veya emax lamine kaplama renkleri arasından seçimi yapabileceğiniz a1, a2, a3, a4, b1, b2, b3, b4, c1, c2, c3, c4, d2, d3,. Sağlıklı diş etleri, dişleri sımsıkı kavrar ve birbirlerine ayrık bir görünüm vermezler. Sağlıklı bir diş eti dokusunun soluk pembe bir renge sahip olduğuna dikkat çeken dr.
Bitkisel Yöntemlerle Diş Eti Peelingi Nasıl Yapılır? Kadınlar Kulübü
Source:
Diş eti için sağlıklı olarak kabul edilen renk pembedir. Ağız, diş ve çene cerrahisi uzmanı dr. Yalnızca diş rengi değil, diş eti ile de dişler farklı renklerde görülebilmektedir.
EV YAPIMI 4 TARİF İLE DİŞLERİNİZİ TARTAR DİŞ ETİ İHTİHABINI VE
Source:
Diş eti dokusunda görülen açık renkli değişiklikler şu sebeplerle oluşabilir : Diş eti için sağlıklı olarak kabul edilen renk pembedir. Diş etinde renk değişikliği ile mora yakın kırmızı, koyu kırmızı, mor, siyah veya irin rengi ve dişler fırçaladığında kanama.
Sağlıklı diş eti rengi nasıl olur? Sağlık son dakika haberler
Source: antalyadisklinigi.com
Nihat tanfer, sağlıklı diş etinin dişlere. Diş eti için sağlıklı olarak kabul edilen renk pembedir. Vita renk skalası üzerinde diş veya implant porselen, zirkonyum veya emax lamine kaplama renkleri arasından seçimi yapabileceğiniz a1, a2, a3, a4, b1, b2, b3, b4, c1, c2, c3, c4, d2, d3,.
Zirkonyum Kaplamalarda Diş Rengi Seçimi Nasıl Olmalı?
Source:
Sağlıklı diş eti dokusunun kendine has özellikleri vardır. Diş eti için sağlıklı olarak kabul edilen renk pembedir. Genellikle ağzımızın önemli bir bölümünü yani diş etlerini gözden kaçırma eğilimi.
Diş Eti Çekilmesi Hakkında Bilmeniz Gerekenler Moda
Source:
Problemin kaynağı dişetlerinde biriken melanin ise dişeti peelingi ile üst katmanların soyulması ve diyetinin sağlıklı pembe rengine getirilmesi hedeflenir. 11 aralık 2020 cuma 17:48 | son güncelleme: Diş eti rengi sağlıklı olmakla beraber, doğal olarak bir başkasından daha açık veya koyu olabilir.
Diş Eti Estetiği
Source:
Vita renk skalası üzerinde diş veya implant porselen, zirkonyum veya emax lamine kaplama renkleri arasından seçimi yapabileceğiniz a1, a2, a3, a4, b1, b2, b3, b4, c1, c2, c3, c4, d2, d3,. Aynı şekilde dişleriniz tümüyle sağlıklı, ama rengi sarı, hatta kahverengimsi bile olabilir. Diş eti sağlığı, çoğu insan tarafından yoğun ilgi gören bir konu değil.
Diş Eti Estetiği Özel Dent KM Ağız ve Diş Sağlığı Polikliniği
Source:
“sağlıklı diş eti ne renk olmalı?” sorusunun yanıtını çoğumuz merak ederiz. Sağlıklı diş eti ne renk olmalı? Vita renk skalası üzerinde diş veya implant porselen, zirkonyum veya emax lamine kaplama renkleri arasından seçimi yapabileceğiniz a1, a2, a3, a4, b1, b2, b3, b4, c1, c2, c3, c4, d2, d3,.
Zirkonyum Diş Nedir? Zirkon, Empress ve porselen diş kaplama fiyatı
Source:
Dişeti hastalıkları nedeniyle çürüğü olmayan sağlam dişler bile kaybedilebilir. Gül pembesinin sağlıklı, doğal ve estetik diş etlerinin rengi olduğunu söyleyen dt. Sağlıklı diş rengi nasıl olmalı?
Sağlıklı ve doğal diş rengi nasıl olmalı? Sağlık Haberleri
Source:
11 aralık 2020 cuma 17:48. Sorusunun yanıtını çoğumuz merak ederiz. Sağlıklı diş etleri, dişleri sımsıkı kavrar ve birbirlerine ayrık bir görünüm vermezler.
Diş eti rengi sağlığı ele veriyor (Diş eti neden kanar?) Beden Sağlığı
Source:
Diş eti sağlığı, çoğu insan tarafından yoğun ilgi gören bir konu değil. Nihat tanfer, sağlıklı diş etinin. Sağlıklı diş eti ne renk olmalı?
Dehşet Verici Görüntü Diş Eti Kanamasının Nedenleri ve Tedavi
Source:
Yalnızca diş rengi değil, diş eti ile de dişler farklı renklerde görülebilmektedir. Dişeti hastalıkları nedeniyle çürüğü olmayan sağlam dişler bile kaybedilebilir. 11 aralık 2020 cuma 17:48.
Diş eti rengi hastalıkların habercisi olabilir
Source: ankaradis.org
Ağzınızı her gün kullanıyorsunuz ve muhtemelen diş etlerinizin gerçekte ne kadar sağlıklı. Diş eti dokusunda görülen açık renkli değişiklikler şu sebeplerle oluşabilir : Sorusunun yanıtını çoğumuz merak ederiz.
Ankara Diş Eti Estetiği (Gummy Smile), Diş Eti Estetiği fiyatları
Source:
Sorusunun yanıtını çoğumuz merak ederiz. 11 aralık 2020 cuma 17:48. Diş eti kanaması tehlikeli olabilir!
Diş eti çekilmesi nasıl önlenir? Sağlık Haberleri
Source:
Sağlıklı diş etleri, dişleri sımsıkı kavrar ve birbirlerine ayrık bir görünüm vermezler. Diş eti için sağlıklı olarak kabul edilen renk pembedir. Gibi son dönemde sıklıkla sorulan bu soruları,.
Diş Eti İltihabı Tuzlu Su Kullanımı ve Faydaları
Source: dentaristo.com
Diş eti için sağlıklı olarak kabul edilen renk pembedir. Olmasi gereken renk soluk pembe. Bengi kaya mert, diş etlerindeki problemlerde lazer teknolojisinin nasıl sonuçlar doğurduğunu ise.
Diş Eti Tedavileri Dentaristo
Source:
Olmasi gereken renk soluk pembe. Sorusunun cevabını çoğumuz merak ederiz. Nihat tanfer, sağlıklı diş etinin dişlere sıkıca tutunmuş ve.
Diş Eti Neden Kanar ? Diş Sağlığı Neden Önemlidir? News TR
Source:
Bu nedenle diş çevresi dokuların (dişeti, kemik) sağlığının korunması da. Sağlıklı diş eti ne renk olmalı? sorusunun yanıtını çoğumuz merak ederiz. Diş eti yüzeyleri portakal kabuğu gibi.





